从“凭经验”到“靠数据”:天玑机器人重塑膝关节置换术新标准
2026 - 04 - 15 18 : 54
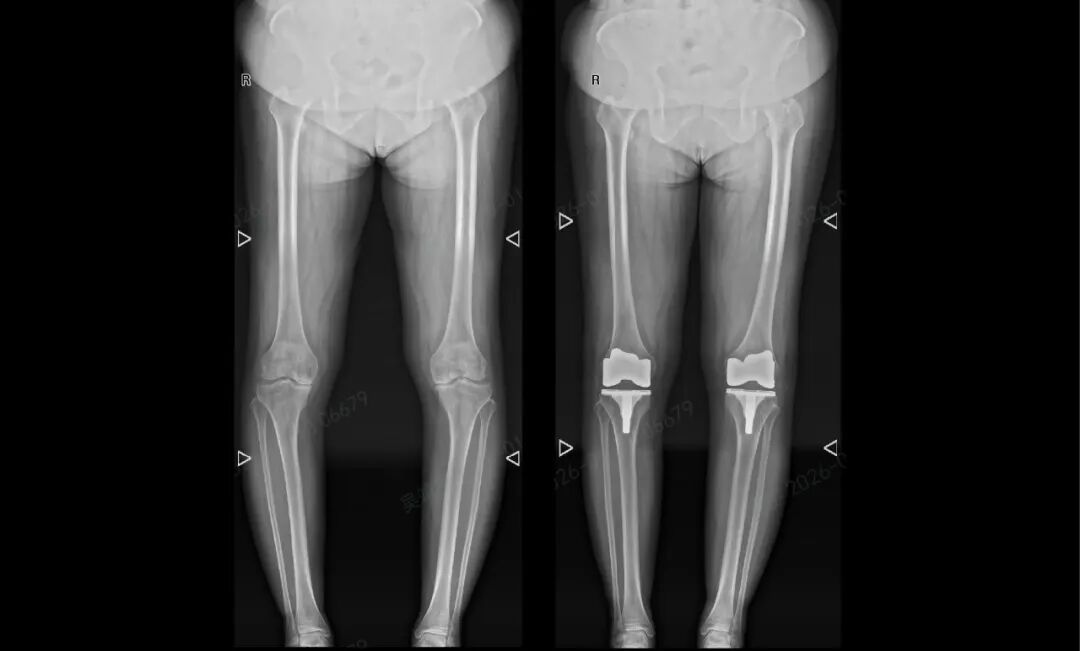
近日,北京积水潭医院郑州医院(郑州市中心医院)关节外科主任杨锴、副主任医师吴靖宇成功运用天玑机器人辅助手术系统,为一名饱受双膝重度骨关节炎困扰十年的65岁患者完成双侧全膝关节置换术,以亚毫米级精准操作突破传统手术精准度瓶颈。
高度依赖主观经验:传统手术中,假体型号选择、骨骼切割角度以及截骨量等关键决策,很大程度上取决于主刀医生的经验判断。
精度控制挑战巨大:关节力线校准、假体角度把控等环节对精度要求极高,操作偏差可能影响术后关节功能恢复,诊疗难度较大。
可量化:从经验判断到数据决策的个体化规划。基于患者CT数据,系统构建1:1比例的3D数字膝关节模型,在天玑规划平台完成手术推演,精准测算假体安放角度、关节力线等关键参数,为患者定制专属手术方案,告别“千人一面”的诊疗模式。
可实时导航:为复杂手术构建安全边界。系统通过动态监测同步提供视觉与数据反馈,帮助医生实时掌握手术进展,及时校准操作偏差,确保手术全程处于精准可控状态,降低手术风险。
可精准复制:让手术方案得以完美复制。手术过程中,机器人臂凭借稳定的操作性能,严格遵循术前规划完成骨骼切割与假体植入,操作精度控制在亚毫米级,既保障了骨骼切割的规范性,又最大程度减少对健康软组织的影响,实现微创化治疗目标。
手术结束后,患者张阿姨的膝关节畸形得到矫正,疼痛感明显改善。令人欣慰的是,她在术后次日便能自主站立,目前已顺利开展功能康复训练,逐步向正常行走目标推进。
杨锴主任评价: “机器人让关节外科手术从依赖经验的临床实践,升级为可量化、可规划、可精准复制的规范化诊疗模式。”
天玑赋能医生,让外科医生得以更专注于方案设计、病情判断和复杂手术决策等,将外科医生的智慧最大化。
- 上一篇:国内首例!天智航助力实现 “空间计算+手术机器人”融合应用 定义骨科精准手术新范式 2026-04-15
- 下一篇:告别“怕开刀”、迎接“快康复”,机器人辅助手术让关节置换更轻松 2026-04-15
